Hinweis

Für dieses multimediale Reportage-Format nutzen wir neben Texten und Fotos auch Audios und Videos. Daher sollten die Lautsprecher des Systems eingeschaltet sein.

Mit dem Mausrad oder den Pfeiltasten auf der Tastatur wird die jeweils nächste Kapitelseite aufgerufen.

Durch Wischen wird die jeweils nächste Kapitelseite aufgerufen.

Los geht's

MIKROSKOPIE – oder der bewaffnete Blick

Logo https://phsg-berzelius-labor-journal.pageflow.io/mikroskopie

Der Fall

Berzelius-Laborjournal: 4.01, 06/2021 (V01: 05/2021)

Dipl. El. Ing. FH Harald Sprenger sowie das Berzelius-Team der PHSG


Zum Anfang
☠ Eine Leiche im Wald mit schwerer Kopfverletzung!
☠ Unfall oder Überfall?
☠ Totschlag oder sogar Mord?

Zur Aufklärung dieses rätselhaften Falles wird die Leiche in die Gerichtsmedizin überführt, wo sie mit wissenschaftlichen Methoden untersucht wird. Dabei spielt die Mikroskopie eine bedeutende Rolle.

Dieses Laborjournal erklärt die Hintergründe. Es zeigt, wie menschliche, tierische und pflanzliche Organismen fachgerecht zu präparieren sind, um diese dann anschliessend unter einem Mikroskop zu untersuchen. Bekannteste Präparationstechniken sind das Einbetten in Paraffin, das Herstellen von dünnen Schnitten und das Färben. Erst mit Hilfe dieser Techniken können Strukturen in den mikroskopierten Gewebeproben erkannt und damit Rückschlüsse auf die Todesursache gezogen werden. 

Das Projekt Berzelius – Hightech für die Sek II unterstützt Lehrpersonen und Schüler*innen der Gymnasien, die Verbindungen zwischen Lehre, Arbeitswelt, Forschung und Realität zu knüpfen. Dafür wird ein Pool von Experimentiermodulen mit Analysegeräten aus Forschung und Industrie zur Verfügung gestellt. In multimedialen Laborjournalen wie das vorliegende befinden sich ausgearbeitete Unterrichtsmaterialien und Versuchsvorschläge, die zum Vermessen, Experimentieren, Staunen und Nachdenken anregen.
Zum Anfang
Zum Anfang
0:00
/
0:00
Video jetzt starten
Eine Leiche im Wald! Mit schwerer Kopfverletzung. Ein Verbrechen? Gibt es erste Hinweise?

Mehr dazu im folgenden Video (Video starten mit)!

Video öffnen

Zum Anfang
Zum Anfang
Zum Anfang
Zum Anfang
0:00
/
0:00
Video jetzt starten
Mehr dazu im folgenden Video (Video starten mit▸)!

Video öffnen

Zum Anfang
Zum Anfang

Die Untersuchung

0:00
/
0:00
Video jetzt starten
Im folgenden Kapitel geht es nun um die rechtsmedizinischen Untersuchungen. Dabei öffnen die Obduzent*innen die Leiche. Ziel ist es, den Todesgrund zu finden. Für die folgenden histologischen Untersuchungen mit dem Mikroskop entnehmen die Obduzent*innen Gewebeproben der inneren Organe.

Mehr dazu im folgenden Video (Video starten mit▸)!

Video öffnen

Zum Anfang
Da sich bei der Obduktion keine konkrete Todesursache ergab, ordnete die Staatsanwaltschaft folgende weitere Untersuchungen an:
  • Toxikologische Analysen zur Bestimmung allfälliger Drogen oder Medikamente im Blut, die den Tod verursacht haben könnten.
Drogen und Medikamentenkonsum lassen sich sehr gut mittels der Gas- oder Flüssigkeitschromatographie sowie der (Nahinfrarot-)Spektroskopie nachweisen. TIPP: Hier habt ihr die Möglichkeit Chromatographen und Spektrometer auszuleihen, um Spuren von Medikamenten bzw. Drogen nachzuweisen.
  • Histologische, das heisst feingewebliche Untersuchungen der während der Obduktion entnommenen Gewebeproben der inneren Organe.
Diese Untersuchungen erfolgen mit dem Mikroskop. Der prinzipielle Aufbau dieses faszinierenden Instruments ist hier am Beispiel eines Lichtmikroskops erklärt.

 

Zum Anfang
0:00
/
0:00
Video jetzt starten
Die Herstellung von Gewebeschnitten von einem Tausendstel Millimeter erfordert eine spezielle Technik. Entweder das Schneiden von (geübter) Hand mit einer extrem scharfen Klinge oder mittels Einsatz eines Mikrotoms (bei Berzelius erhältlich!).

Das Einfärben erfolgt wegen besserer Sichtbarkeit der Zellstrukturen mit einem speziellen Färbeprozess (hier:  «Hämatoxylin-Eosin-Färbung» ). Diese Färbung hebt die Zellstrukturen in Rosa, die Blutkörperchen in Rot und die Zellkerne in Blau hervor.

Dieses Video zeigt die Arbeitsschritte (Start mit ).

Video öffnen

Zum Anfang
Zum Anfang
Zum Anfang

Die Resultate

0:00
/
0:00
Video jetzt starten
Die Ergebnisse der toxikologischen und histologischen Untersuchungen erfahrt ihr im Video. 

(Start des Videos mit ▸)

Video öffnen

Zum Anfang

Der Abschluss

0:00
/
0:00
Video jetzt starten
Der Fall ist abgeschlossen. Alle Erkenntnisse und die rechtliche Würdigung findet ihr in diesem Video!

(Start des Videos mit ▸)

Video öffnen

Zum Anfang
Dafür Leberverfettung und verkalkte Herzkranzgefässe, wie die histologischen Untersuchungen mit Hilfe des Mikroskops zeigten. In Kombination mit der körperlichen Anstrengung während des Joggens führte dies zum Herzinfarkt, der wiederum für den agonalen Sturz und die Kopfverletzung verantwortlich war.

Also eine natürliche Todesart gemäss dem Verständnis der Rechtsmedizin: ein Tod aufgrund innerer körperlicher Ursachen.  
Zum Anfang

Entdecke die Welt

Zum Anfang

Impressum

Autor: Dipl. El. Ing. FH Harald Sprenger

Editor-in-Chief: Dr. Alfred Steinbach

Herausgeber und Projektleiter: Prof. Dr. Nicolas Robin
Berzelius-Editorial-Team in alphabetischer Reihenfolge:
Dr. Martin Novotny
Prof. Dr. Florian Rietz
Markus Roth
Dipl. El. Ing. FH Harald Sprenger
Dr. Alfred Steinbach
Eva Steingruber

Kamera, Film und Schnitt: Raphaël Maussion, Jennifer Dürlewanger (Medienwerkstatt PHSG)

Berzelius - Hightech für die Sek II ist ein gemeinsames Projekt des Instituts Fachdidaktik Naturwissenschaften der PHSG und der Metrohm Stiftung.

Zum Anfang

Die Welt aus Sicht des Mikroskops

Arbeitsunterlagen

in gedruckter Form. Durch Anklicken können sie auch als PDF-Datei heruntergeladen werden.

Wechselobjektiv

mit kleinerer Auflösung

Externe Harddisk

zum Speichern der aufgenommenen Bilder.

Lichtdiffusor

kann zusätzlich zur besseren Beleuchtung aufgesetzt werden.

Weiteres Material

wie vorbereitete Bilder, Reinigungstuch etc.

Mikroskop Leica DVM 6

Transportwagen

Materialbox

mit Zusatzmaterialien (siehe rechts)

Zum Anfang

Werkzeuge

Schraubenzieher, Reinigungspinsel, Imbusschlüssel

Pinzetten

Schrauben

zur Befestigung von Handrad (rechts) und Grobtriebrad (links) am Mikrotom.

Handrad

Beim Zusammenbau muss das Handrad mit der beiliegenden Schraube befestigt werden.

Grobtriebrad

Beim Zusammenbau muss das Handrad mit der beiliegenden Schraube befestigt werden.

Mikrotom Leica RM2235

Ersatzklingen

Diese Klingen sind äusserst scharf. Beim Auswechseln ist unbedingt grösste Vorsicht geboten.

Zum Anfang

Reserveflaschen

mit 70-, 95- und 100-prozentigem Alkohol

Reserveflasche mit Salzsäure 0.1 %

Farbstoffe

für die HE-Färbung (Hämatoxilin HE1 und Eosin HE2)

Wärmebad

inkl. Wärmeplatte

Bäder für Färbeprozess

Die Bäder sind für das Färben vorbereitet. Hier findest du die Alkoholbäder in absteigender und aufsteigender Alkoholkonzentration (in Prozent) sowie die Wasserbäder.

Bechergläser und Pipetten

Sind nur einzelne Proben zu färben, können die Reagenzien auch in die Bechergläser gefüllt werden.

Objektträger und Deckplättchen

Labortücher

Plastikhandschuhe

diverse Glasbehälter

Halter für Objektträger

wird benutzt, wenn gleichzeitig mehrere Schnitte gefärbt werden sollen.

Arbeitsunterlagen

in gedruckter Form. Durch Anklicken können sie als PDF-Datei heruntergeladen werden.

Zum Anfang
Zum Anfang
Ist die Brechstange die Tatwaffe? Von wem stammen die am Tatort gefundenen Kleiderfasern, Haare, Fingerabdrücke oder sonstige Spuren? Untersucht und vergleicht unterschiedliche Haare, Kleiderfasern etc. mit dem Digitalmikroskop.
Zum Anfang
Tote Insekten aller Art lassen sich hervorragend unter dem Mikroskop untersuchen – und das Ganze geht dreidimensional! Treffe selbst eine Auswahl und lege dir so eine Sammlung zu.

Zum Anfang
Lege ein kleines Stück von einem Mikrofasertuch unter das Mikroskop und schaue dir seine Struktur an. Wo liegt der Unterschied zu einem gewöhnlichen Stofftuch oder zu einem Papiertaschentuch? Welchen Vorteil hat darum beim Putzen einer Brille das Mikrofasertuch gegenüber z. B. einem Papiertaschentuch?


Zum Anfang
Schließen
Schau dir deine eigenen roten Blutkörperchen unter dem Mikroskop an. Das Video von simpleclub zeigt dir, wie es geht.
Ich bin damit einverstanden, dass mir YouTube Videos gezeigt werden. Mehr Informationen
Blut unter dem Mikroskop? Live Experiment

Um externe Dienste auszuschalten, hier Einstellungen ändern.

Zum Anfang
Schließen
Es ist sehr faszinierend, was man in einem Tropfen altem Blumenwasser alles beobachten kann. Pantoffeltierchen, Augentierchen, Wimperkugeln, Sonnentierchen, Rädertierchen, Amöben etc.

Für diesen Versuch nimmst du einen Tropfen Wasser aus einer Blumenvase. Die besten Ergebnisse erhältst du, wenn das Wasser schon etwas älter ist und die darin eingestellten Blumen langsam verwelken. Den Wassertropfen auf ein Glasplättchen geben und unter dem Mikroskop betrachten! 

Das Video nebenan gibt euch einen Einblick!

Ich bin damit einverstanden, dass mir YouTube Videos gezeigt werden. Mehr Informationen

Um externe Dienste auszuschalten, hier Einstellungen ändern.

Zum Anfang
Herkömmliche Stoffe haben entweder eine Kristallstruktur oder sind amorph (gestaltslos). Kunststoffe sind auch amorph oder maximal teilkristallin. Wegen des makromolekularen Aufbaus können Kunststoffe nie vollständig auskristallisieren. Das führt zu einem einzigartigen viskoelastischen Verhalten:  teilweise fest und elastisch, teilweise viskos oder flüssig.

Mache die faszinierende Teilkristallinität vieler Kunststoffe mit Hilfe von Mikrotomschnitten und/oder Ätztechniken sichtbar.

Bilder:
Salino01Roland.chem Materialscientist
CC BY-SA 3.0 , via Wikimedia Commons
Zum Anfang
LED-Bildschirme bestehen aus kleinen roten, grünen und blauen LED-Lämpchen (s. Hintergrundbild links). Papierdrucke bestehen aus Punkten der Farben Cyan, Gelb (yellow),  Magenta und Schwarz (traditionell als key bezeichnet), wie im Hintergrundbild rechts gezeigt. Erstere Technologie wird als RGB, zweite als CYMK bezeichnet. Wegen der unterschiedlichen Farbdarstellungen gibt es bei einer Überführung von Bildschirminhalten auf Buchdrucke und umgekehrt einige technische Herausforderungen.

Entdecke mit dem Digitalmikroskop die Unterschiede verschiedener Bildschirme und Drucke. Werde zum Detektiv und finde heraus auf welchem Drucker ein verdächtiges Dokument ausgedruckt wurde.

Übrigens: Es gibt ein eigenes BLJ (PHOTOSPEKTROMETRIE – subjektiver Anschein versus objektive Messmethode), in dem ihr erfahrt, wie unser Gehirn mit nur drei (RGB) bzw. vier Farben (CYMK) alle anderen Farbeindrücke konstruieren kann.

Zum Anfang
Deine Entdeckungen und Forschungsergebnisse veröffentlichen wir hier gerne!
Zum Anfang

Okular

Durch das Okular werden die Objekte betrachtet.

Oberer Stativteil

Hier ist meistens ein Umlenkprisma eingebaut.

Tubusträger

Das Stativteil trägt das Mikroskop und dient zum Befestigen von Optik und Objekttisch. Am Stativteil kann das ganze Mikroskop auch getragen werden.

Revolver

Ansatz am Tubus. Durch Einschwenken verschiedener Objektive werden unterschiedliche Vergrösserungen eingestellt.

Objektträger

Glasplättchen, auf welchem des zu beobachtende Objekt aufgebracht ist.

Objektklammer

Metallklammer, die den Objektträger mit dem Präparat festhält.

Objekttisch

Vorrichtung zum Festhalten des Beobachtungsobjekts.

Grobtrieb

Drehrad, mit dem man den Objekttisch rasch heben und senken kann. Dient der groben Schärfeeinstellung.

Feintrieb

Drehrad, das den Objekttisch um Bruchteile eines Millimeters auf und ab bewegt. Dient der sehr genauen Scharfstellung des Bildes.

Blende

Öffnung, deren Durchmesser regelbar ist. Sie dient zum Einstellen der jeweils optimalen Beleuchtung des zu betrachtenden Objekts.

Kondensor

Linsensystem, welches das Licht der Lampe auf das Objekt konzentriert.

Fuss


Stabile Standfläche des Mikroskops. Darin integriert ist vielfach auch die Lampe für die Beleuchtung.

Zum Anfang

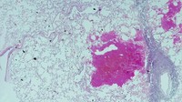
Leberschnitt

Schließen
Vorher/Nacher Ansicht

Vorher/Nachher-Ansicht starten
Links: gesunde Leber
Rechts: Fettleber mit eingelagerten Fettzellen (runde, weisse Zellen)






Unten «VORHER/NACHHER-ANSICHT STARTEN» anklicken! Dann den Schieber (senkrechte Trennlinie) horizontal über die Abbildung bewegen!

Zum Anfang

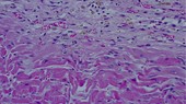
Herzmuskelschnitt

Schließen
Vorher/Nacher Ansicht

Vorher/Nachher-Ansicht starten
Links: gesundes Herz
Rechts: Herz nach Infarkt (Muskelzellen grösstenteils zerstört und vernarbt)






Unten «VORHER/NACHHER-ANSICHT STARTEN» anklicken! Dann den Schieber (senkrechte Trennlinie) horizontal über die Abbildung bewegen!



Zum Anfang

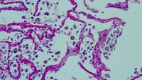
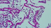
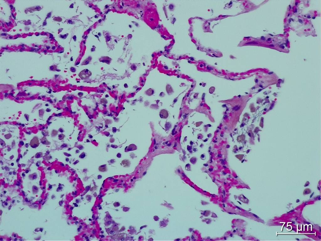
Lungenschnitt

Schließen
Vorher/Nacher Ansicht

Vorher/Nachher-Ansicht starten
Links: gesunde Lunge
Rechts: Lunge mit Einblutung (roter Bereich)






Unten «VORHER/NACHHER-ANSICHT STARTEN» anklicken! Dann den Schieber (senkrechte Trennlinie) horizontal über die Abbildung bewegen! 

Zum Anfang

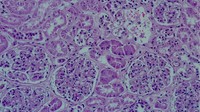
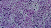
Nierenschnitt

Schließen
Vorher/Nacher Ansicht

Vorher/Nachher-Ansicht starten
Links: gesunde Niere in 250-facher Vergrösserung
Rechts: gesunde Niere in 800-facher Vergrösserung






Unten «VORHER/NACHHER-ANSICHT STARTEN» anklicken! Dann den Schieber (senkrechte Trennlinie) horizontal über die Abbildung bewegen! 

Zum Anfang

Geschichte

Teleskop und Mikroskop: Blicke ins Grösste, Blicke ins Kleinste. Bewaffnete Blicke. Blicke, die die Welt aus den Angeln hoben. Blicke, die den Naturwissenschaften die Augen öffneten.

Optische Linsen waren bereits in der Antike bekannt. Doch erst im 17. Jahrhundert in den Niederlanden wurden die Linsen so präzise geschliffen und mit einer Feinmechanik kombiniert, dass sich neue Welten offenbarten. Der Blick ins All und der Blick in die Welt der Mikroorganismen.
Zum Anfang
Als Galileo Galilei 1609 sein selbst gebautes, venezianisches Teleskop in den klaren Dezemberhimmel hielt, versetzte er dem bis dahin geltenden geozentrischen Weltbild, das die Erde als Mittelpunkt des Universums ansah, den Todesstoss. Galilei blickte in neue Welten und erkannte, dass der deutsch-polnische Astronom und Arzt Nikolas Kopernikus (1473–1543) Recht gehabt hatte mit seiner Annahme, dass sich die Erde um ihre eigene Achse drehe und sie sich wie andere Planten um die Sonne bewege. Zudem seien Sonne, Erde und Mond nur ein sehr kleiner Teil des Universums. Galilei konnte mit seinem Teleskop plötzlich wahrnehmen, was vorher jenseits des menschlichen Sinnesvermögens lag. Es war der wohl aufklärerischste Blick des zweiten Jahrtausends.  

Obwohl seine Lehre lange verboten war und er sogar eingesperrt wurde, konnte niemand dieses Wissen länger aufhalten. «Und sie bewegt sich doch», soll Galilei geschrien haben, wobei «sie» klar die Erde bezeichnete. Der archimedische Punkt – der theoretische, absolute Punkt ausserhalb des Versuchsaufbaus – wanderte von der Erde ins Weltall! Für die jüdische deutsch-US-amerikanische Politikphilosophin Hannah Arendt (1906–1975) wie für den britischen Philosophen und Mathematiker Alfred North Whitehead (1861–1947) war Galileis Blick ins Universum die weltumwälzende Erfindung der Neuzeit. Der deutsche Philosoph Arthur Schopenhauer (1788–1860) drückte es im Jahr 1819 sinngemäss so aus:

«Wir sehen uns nicht länger als Mittelpunkt des Universums, sondern sind vielmehr nur der Schimmelüberzug lebender und erkennender Wesen auf einer der zahllosen Kugeln im unendlichen Raum.»







Zum Anfang
Wenige Jahre vor Galileis Blick in den venezianischen Dezemberhimmel schliff der niederländische Naturforscher Antoni van Leeuwenhoek (1632–1723) in den Niederlanden, wo die Glasschleiferkunst in Blüte stand, bereits Linsen mit Brennweiten im Bereich von einem Millimeter, die zweihundertfache Vergrösserungen erlaubten. Darüber hinaus konstruierte van Leeuwenhoek die ersten Mikroskope mit einer Feinmechanik, die ein bequemes Scharfstellen ermöglichten (siehe Hintergrundbild).

Leeuwenhoek fand auch als erster Bakterien (auf seinem Zahnbelag) und dokumentierte diese. Die Bedeutung der Bakterien konnte zu dieser Zeit noch nicht erahnt werden. Das Mikroskop stellte aber im Laufe der Zeit ein wichtiges Instrument bei der Entdeckung von Krankheitserregern dar.

Auch den peripheren Blutkreislauf in den feinen Kapillaren entdeckte Leeuwenhoek und es gelang ihm, die Verbindung des arteriellen mit dem venösen Blutkreislauf zu erklären. Dies war bis dahin ein ungelöstes Problem.

Leeuwenhoeks spektakulärste Entdeckung war die der menschlichen Spermatozoen und der geschlechtlichen Fortpflanzung aller Lebewesen. Akribisch beobachtete er neben anderem, das sexuelle Verhalten der Flöhe und die Entwicklungsschritte vom befruchteten Ei bis zum vollständig entwickelten Floh. Dabei scheute er sich nicht, diese Forschungsobjekte in seiner Hosentasche mit sich herum zu tragen und mit dem eigenen Blut zu ernähren.

Die Brennweite einer Linse konnte aber nicht beliebig verkleinert werden. Die Linse würde zu dick und damit der Abbildungsfehler zu gross. Schon zur Zeit Leeuwenhoeks versuchte man daher die Vergrösserung mit Hilfe zweier Linsen zu steigern. Genau dieser zweilinsige Aufbau, der den heutigen, modernen Mikroskopen schon sehr ähnelt, ist Gegenstand der berühmten Schrift Micrographia des englischen Physikers Robert Hooke (1635–1703). Einzig die Scharfstellung (Fokussierung) und die Beleuchtung machten noch Probleme. Dies löste Hooke elegant mit Hilfe einer Öllampe, deren Licht er wiederum mit einer Linse  – dieses Mal eine mit Wasser gefüllte Glaskugel – auf das Präparat bündelte. Hooke untersuchte mit seinem Mikroskop pflanzliches Gewebe und legte damit die Grundlage für die Cytologie (Zellenlehre).

In den folgenden Jahrhunderten wurde die optische und mechanische Qualität der Lichtmikroskope ständig verbessert. Nicht zuletzt sei auch noch das mit Materiewellen der Elektronen arbeitende Elektronenmikroskop erwähnt, das mit einer um den Faktor Zweitausend verbesserten Auflösung besticht. Kein Bereich der Wissenschaft kann heute auf den «bewaffneten Blick» der Mikroskopie verzichten.

Eine interessante Darstellung der steilen Karriere des Mikroskops findest ihr hier.








Zum Anfang
Ein weiterer Meilenstein im Zeitalter der Visibilität war die Entdeckung der Fotografie im Jahr 1826 durch den französischen Erfinder Joseph Niépce (1765–1833) und seinen Landsmann und Maler Louis Daguerre (1787–1851). Im Jahr 1849 entwickelte der schottische Physiker David Brewster (1781–1868) dann stereoskopische Doppelaufnahmen mit einer Zweiobjektiv-Kamera.

TIPP: Auch hier gibt es die Möglichkeit Hightech-Geräte auszuleihen, entweder eine unserer Highspeedkameras (Standard-Highspeedkamera oder Hochleistungskamera von AOS) oder unsere Wärmebildkamera.










Zum Anfang

Mikroskope

Okular

Durch das Okular werden die Objekte betrachtet.

Tubusträger

Das Stativteil trägt das Mikroskop und dient zum Befestigen von Optik und Objekttisch. Am Stativteil kann das ganze Mikroskop auch getragen werden.

Revolver

Ansatz am Tubus. Durch Einschwenken verschiedener Objektive werden unterschiedliche Vergrösserungen eingestellt.

Objektträger

Glasplättchen, auf welchem das zu beobachtende Objekt aufgebracht ist.

Objekttisch

Vorrichtung zum Festhalten des Beobachtungsobjekts.

Feintrieb

Drehrad, das den Objekttisch um Bruchteile eines Millimeters auf und ab bewegt. Dient der sehr genauen Scharfstellung des Bildes.

Grobtrieb

Drehrad, mit dem man den Objekttisch rasch heben und senken kann. Dient der groben Schärfeeinstellung.

Objektklammer

Metallklammer, die den Objektträger mit dem Präparat festhält.

Oberer Stativteil

Hier ist meistens ein Umlenkprisma eingebaut.

Blende

Öffnung, deren Durchmesser regelbar ist. Sie dient zum Einstellen der jeweils optimalen Beleuchtung.

Kondensor

Linsensystem, das das Licht der Lampe auf das Objekt konzentriert.

Fuss

Stabile Standfläche des Mikroskops. Darin integriert ist vielfach auch die Lampe für die Beleuchtung.

Zum Anfang

Zoommodul

Hier befindet sich das Linsensystem und die Komponenten für die Optik, wie z. B. Bildwandler oder optischer Sensor.

Kipphebel

Mit dem Kipphebel kann das Digitalmikroskop schräg gestellt werden.

Zoomring

Der rote Zoomring dient dem Einstellen der Vergrösserung und damit dem Bestimmen des Probenausschnitts.

Objektiv

Das Objektiv beinhaltet die folgenden Elemente: 
- Kontrastregler für koaxiale Auflichtbeleuchtung
- LED-Ringbeleuchtung
- Koaxialbeleuchtung

XY-Tisch

Objekttisch, XY-Tisch. Darauf befinden sich die Proben, meist auf einem Objektträger. Der Tisch kann manuell oder über das Bedienprogramm, das einen Motor ansteuert, in beiden Richtungen bewegt werden.

Stellräder

Mit Hilfe der Stellräder kann der XY-Tisch manuell bewegt werden.

Fokustrieb

Mit diesem Drehknopf kann der Fokus eingestellt werden. Der grössere Knopf ist die Grobeinstellung, der kleinere Knopf ist der Feintrieb. Der Fokus kann auch im Bedienprogramm eingestellt werden.

Basis und Standfuss

Der Standfuss gibt dem Mikroskop einen sicheren Stand.

Anschlüsse

Auf der Rückseite befinden sich die Anschlüsse für:
- Stromversorgung
- USB
- externe Beleuchtung

Auch der Hauptschalter befindet sich hier.

Zum Anfang
0:00
/
0:00
Video jetzt starten
Zum Anfang

Mikrotomschneiden

0:00
/
0:00
Video jetzt starten
Das Video zeigt die Herstellung von Gewebeschnitten mit einem Mikrotom.

Video öffnen

Zum Anfang
Zum Anfang

Färben

0:00
/
0:00
Video jetzt starten
Das Video zeigt das Färben von Gewebeschnitten zur anschliessenden Betrachtung unter einem Mikroskop.


Video öffnen

Zum Anfang
Zum Anfang

Der Tod

Peter Atkins Kapitel «Tod»

Martin Novotny liest das Kapitel Tod aus Peter Atkins Über das Sein – Ein Naturwissenschaftler erforscht die grossen Fragen der Existenz

0:00
/
0:00
Audio jetzt starten
Die in Peter Atkins Kapitel Tod beschriebenen Fakten werden in der Rechtsmedizin benötigt, um beispielsweise den Zeitpunkt des Todes abzuschätzen. Wir haben die anspruchsvolle Literatur hier als Podcast gestaltet. Lehne dich zurück und lausche, was auch irgendwann einmal mit deinem Körper passieren wird.

Audio öffnen

Zum Anfang
Scrollen, um weiterzulesen Wischen, um weiterzulesen
Wischen, um Text einzublenden

Neue Seiten

Seit dem letzten Besuch wurden diesem Pageflow neue Seiten hinzugefügt:

...und weitere

Hinweis schließen